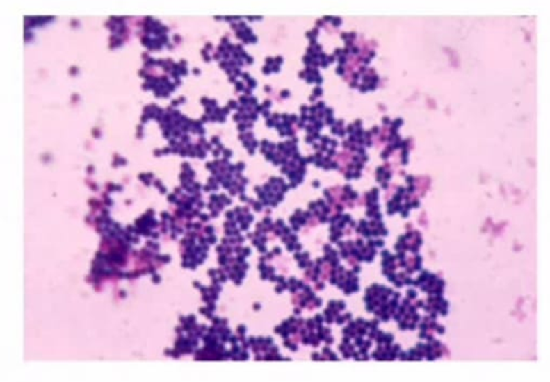
The bacteria in this image would be considered
streptobacilli
streptococci
staphylococci
palisades
The Correct Answer is C
A. streptobacilli: Streptobacilli are rod-shaped bacteria arranged in chains. The image shows spherical bacteria.
B. streptococci: Streptococci are spherical bacteria that form chains. The bacteria in the image appear in clusters rather than chains.
C. staphylococci: Staphylococci are spherical bacteria that form grape-like clusters, which matches the arrangement seen in the image. This clustering pattern is a key characteristic of staphylococcal species.
D. palisades: Palisade arrangements refer to rod-shaped bacteria lined up side by side like a fence. The bacteria in the image are spherical and clustered.

Nursing Test Bank
Naxlex Comprehensive Predictor Exams
Related Questions
Correct Answer is C
Explanation
A. Intermediate host: The intermediate host harbors the larval or asexual stage of a parasite but does not support adult development or mating of helminths.
B. Secondary host: This term is sometimes used interchangeably with intermediate host, meaning it also supports only immature stages of the parasite rather than adulthood and reproduction.
C. Definitive host: The definitive host is where helminths reach maturity and undergo sexual reproduction. Adulthood and mating occur here.
D. Transport host: A transport (paratenic) host temporarily harbors the parasite without further development, serving mainly to pass it to another host.
E. Mating takes place in all hosts: Only the definitive host provides the environment for sexual reproduction and full maturity of helminths.
Correct Answer is D
Explanation
A. Louis Pasteur: Louis Pasteur made significant contributions to microbiology and germ theory, including the development of pasteurization and vaccines, but he did not specifically establish hygiene standards in healthcare settings.
B. Robert Koch: Robert Koch is known for identifying the causative agents of diseases such as tuberculosis and anthrax and developing Koch’s postulates, but he focused on microbiology research rather than hygiene practices in hospitals.
C. Rudolf Virchow: Rudolf Virchow contributed to cellular pathology and emphasized the importance of social and environmental factors in disease, but he did not establish hygiene standards in clinical care.
D. Florence Nightingale: Florence Nightingale is credited with establishing hygiene standards in healthcare settings through her work during the Crimean War, emphasizing sanitation, clean water, and proper ventilation to reduce infection rates and improve patient outcomes.
Whether you are a student looking to ace your exams or a practicing nurse seeking to enhance your expertise , our nursing education contents will empower you with the confidence and competence to make a difference in the lives of patients and become a respected leader in the healthcare field.
Visit Naxlex, invest in your future and unlock endless possibilities with our unparalleled nursing education contents today
Report Wrong Answer on the Current Question
Do you disagree with the answer? If yes, what is your expected answer? Explain.
Kindly be descriptive with the issue you are facing.
