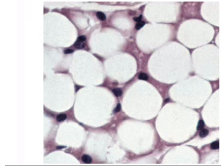
What layer of skin is shown in the brackets?

Epidermis
Hypodermis
Stratum basale
Dermis
The Correct Answer is B
A. Epidermis: The outermost layer, thin and avascular.
B. Hypodermis: The deepest layer, composed mainly of adipose tissue, lying beneath the dermis.
C. Stratum basale: A sublayer of the epidermis, not a full skin layer.
D. Dermis: The dermis lies beneath the epidermis and above the hypodermis. It is composed of connective tissue and contains blood vessels, lymphatic vessels, nerves, sweat glands, sebaceous glands, and hair follicles.
Nursing Test Bank
Naxlex Comprehensive Predictor Exams
Related Questions
Correct Answer is B
Explanation
A. Central Nervous System (CNS): The CNS consists of the brain and spinal cord only. Since the arrow points to a nerve in the shoulder region, this is outside the CNS.
B. Peripheral Nervous System (PNS): The PNS includes all nerves outside the brain and spinal cord. The shoulder nerve shown is part of the PNS, transmitting signals between the CNS and the body.
C. Autonomic Nervous System (ANS): The ANS is a subdivision of the PNS that controls involuntary functions (e.g., heart rate, digestion). While the ANS is part of the PNS, the arrow is pointing to a somatic peripheral nerve, not specifically autonomic.
D. Somatic Nervous System: The somatic nervous system is also a subdivision of the PNS, responsible for voluntary control of skeletal muscles. Although the shoulder nerve could be somatic, the question asks broadly whether it belongs to CNS or PNS, making PNS the best answer.
Correct Answer is C
Explanation
A. Sebaceous Gland: These are oil-producing glands visible in the model as multi-lobed structures near the hair root, but they are not the specific band-like structure indicated by the arrows.
B. Sweat Gland: The model shows eccrine sweat glands as coiled white structures, whereas the arrows point to a reddish, contractile tissue.
C. Arrector Pili Muscle: These are small bands of smooth muscle cells that connect the hair follicle to the upper dermis. When they contract, they cause the hair to stand upright (forming "goosebumps").
D. Dermal Papilla: This refers to the finger-like projections at the epidermal-dermal junction, not the deeper muscle tissue attached to the follicle.
Whether you are a student looking to ace your exams or a practicing nurse seeking to enhance your expertise , our nursing education contents will empower you with the confidence and competence to make a difference in the lives of patients and become a respected leader in the healthcare field.
Visit Naxlex, invest in your future and unlock endless possibilities with our unparalleled nursing education contents today
Report Wrong Answer on the Current Question
Do you disagree with the answer? If yes, what is your expected answer? Explain.
Kindly be descriptive with the issue you are facing.
